Con más de 5 años de experiencia en odontología avanzada, mi compromiso es brindarte la mejor atención dental con tecnología de punta y un trato humano excepcional.
Me especializo en tratamientos estéticos y restaurativos, siempre buscando la excelencia en cada procedimiento. Tu sonrisa es mi pasión y mi compromiso.
Formado en las mejores instituciones y con certificaciones, estoy dedicado a mantenerte sonriendo con confianza.
Me especializo en Odontología Funcional, Cirugía Oral, Rehabilitación Oral, Endodoncia, Periodoncia y Ortodoncia.
5+
Años Experiencia
1000+
Pacientes Felices
Más de Nuestros Resultados
Vea transformaciones de nuestros pacientes.
Paciente 1
Paciente 2
Galería de Casos (Antes/Después)
Desliza para ver las transformaciones de nuestros pacientes.
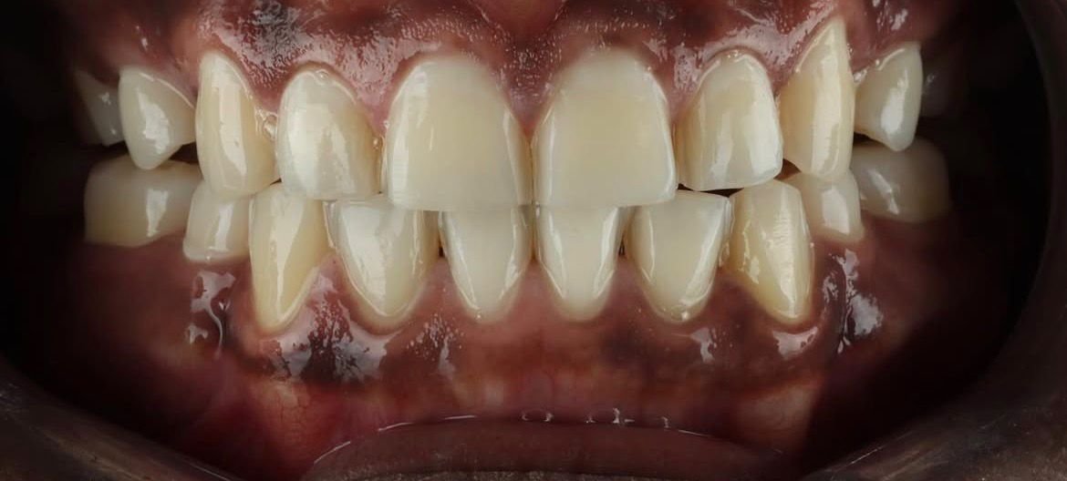
Después
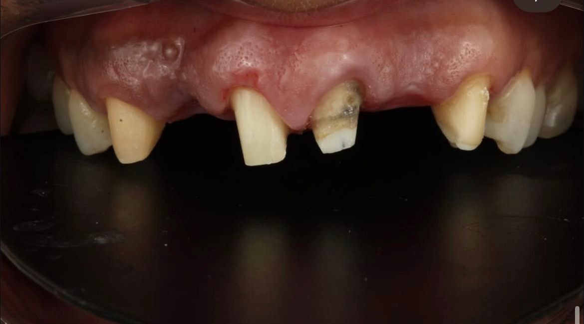
Antes
DISEÑO DE SONRISA EN CERÁMICA
Diseño de sonrisa en cerámica o porcelana
Después
Antes
Caso 1: Diseño en técnica estratificado en porcelana
Excelente servicio, muy feliz con los resultados!
excelente servicio